歯科矯正の症例
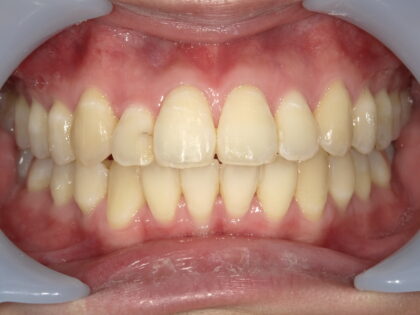
症例1 歯を抜かずに矯正 20代女性
BEFORE
AFTER
| 来院時の主訴 | 歯がガタガタ、鼻詰まりがひどい |
|---|---|
| 治療内容 |
|
| 治療期間 | 2年3カ月 |
| 来院回数 | 約30回 |
| 治療費用 | 850,000円+税 |
| リスクと副作用 | しっかり管理しないと虫歯になる。 かみ合わせは一時的に良くないのでかみにくい事もある。 終了後にリテイナーをしっかり入れないと歯並びはずれる。 月1回の通院を頂けない場合、予定通り進まなくなり治療期間が延びる |
症例2 歯を抜かずに矯正 9歳 男の子
BEFORE
AFTER
| 来院時の主訴 | 歯がガタガタ、鼻詰まりがひどい |
|---|---|
| 治療内容 |
|
| 治療期間 | 3年 |
| 来院回数 | 約30回 |
| 治療費用 | 850,000円+税 |
| リスクと副作用 | しっかり管理しないと虫歯になる。 かみ合わせは一時的に良くないのでかみにくい事もある。 終了後にリテイナーをしっかり入れないと歯並びはずれる。 月1回の通院を頂けない場合、予定通り進まなくなり治療期間が延びる。 |
症例3 歯を抜かずに矯正10代女性
BEFORE
AFTER
| 来院時の主訴 | 見た目が悪く鼻も詰まっている |
|---|---|
| 治療内容 |
|
| 治療期間 | 3年 |
| 来院回数 | 約30回 |
| 治療費用 | 850,000円 |
| リスクと副作用 | しっかり管理しないと虫歯になる。 かみ合わせは一時的に良くないのでかみにくい事もある。 終了後にリテイナーをしっかり入れないと歯並びはずれる。 月1回の通院を頂けない場合、予定通り進まなくなり治療期間が延びる。 |
症例4 歯を抜かずに矯正 10代 女の子
BEFORE
AFTER
| 来院時の主訴 | 歯並びが良くない 歯を抜きたくない |
|---|---|
| 治療内容 |
4番目の歯を便宜抜歯せずに治しました。
鼻の通りも良くなりました。
|
| 治療期間 | 4年半 小学生からのので永久歯が生えるまでの期間 |
| 来院回数 | 50回 |
| 治療費用 | 950,000円 |
| リスクと副作用 |
しっかり管理しないと虫歯になる かみ合わせは 一時的に良くないので かみにくい事もある。
終了後にリテイナーを しっかり入れないと歯並びは ずれる。
|
症例5
BEFORE
AFTER
| 来院時の主訴 | |
|---|---|
| 治療内容 |
狭いのが広くなり 鼻詰まりも改善
|
| 治療期間 | 2年 |
| 来院回数 | 28回 |
| 治療費用 | 900,000円 |
| リスクと副作用 | 虫歯になりやすい かみ合わせが一時的に良くないのでかみにくい ブラケットが取れることもあります。 |
症例6

BEFORE

AFTER
| 来院時の主訴 | 反対咬合 |
|---|---|
| 治療内容 |
|
| 治療期間 | 3年 |
| 来院回数 | 40回 |
| 治療費用 | 1,200,000円 |
| リスクと副作用 | 虫歯になりやすい かみ合わせが一時的に良くないのでかみにくい ブラケットが取れることもあります。 |
症例7

BEFORE


AFTER

| 来院時の主訴 | |
|---|---|
| 治療内容 |
|
| 治療期間 | 2年半 |
| 来院回数 | 34回 |
| 治療費用 | 950,000円 |
| リスクと副作用 | 虫歯になりやすい かみ合わせが一時的に良くないのでかみにくい ブラケットが取れることもあります。 |
症例8

BEFORE


AFTER

| 来院時の主訴 | |
|---|---|
| 治療内容 |
|
| 治療期間 | 1年8か月 |
| 来院回数 | 24回 |
| 治療費用 | 950,000円 |
| リスクと副作用 | 虫歯になりやすい かみ合わせが一時的に良くないのでかみにくい ブラケットが取れることもあります。 |
症例9
BEFORE

AFTER
| 来院時の主訴 | |
|---|---|
| 治療内容 |
|
| 治療期間 | 1年10ヶ月 |
| 来院回数 | 25回 |
| 治療費用 | 900,000円 |
| リスクと副作用 | 虫歯になりやすい かみ合わせが一時的に良くないのでかみにくい ブラケットが取れることもあります。 |
